国庆期间进行牙齿美容时间够吗?
时间:2015-08-28 17:54:40 来源:未知 作者:穗华口腔医院 阅读量:222
导读
牙齿美容时间要多长,在国庆期间进行牙齿矫正时间够吗?面对网友提出的这个问题,下文为大家解答。 广州穗华口腔专家指出,牙齿美容时间要视个人情况而定......
牙齿美容时间要多长,在国庆期间进行牙齿矫正时间够吗?面对网友提出的这个问题,下文为大家解答。
广州穗华口腔专家指出,牙齿美容时间要视个人情况而定,如果你的牙槽骨还处于发育阶段,可以选用牙齿矫正技术,大概需要两年的时间;如果你的牙槽骨处于发育完成阶段,除了可以选用牙齿正畸技术,即戴牙套进行矫正之外,还可以选用牙齿美容修复技术进行矫正,大概需要7天的时间,就可以拥有一口健康洁白的牙齿。现在为你讲述英式四维矫正技术以及牙齿美容修复矫正技术。
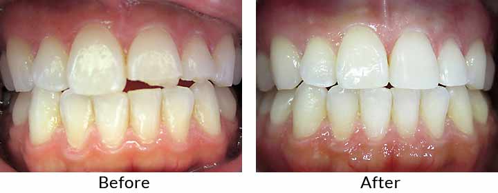
牙齿美容修复前后对比
1、牙齿美容修复矫正技术
穗华纯欧牙齿美容修复技术代表国际牙齿美容新风尚,经欧洲多家着名医学科研机构联手研发,创造出具有牙齿美学“革命意义”的牙齿美容修复系列,将全瓷牙在外观、性能上的优势发挥到。
2、英式四维矫正技术
穗华英式矫正技术是获国际口腔正畸界公认的突破技术,精选4种牙齿矫正方式,包括的纳米材料研制的全透明牙齿矫治器,实现全程无痛无创治疗,专门治疗各种牙齿排列不整齐,咬合错位等牙齿形态问题,还你一口整齐、坚固耐用的健康原牙。
选择一家好的医院 挑选好的医师
穗华口腔医院是拥有百年人文底蕴的暨南大学附属口腔医院临床教学医院,是广东省卫生厅批准成立的口腔专科医院,是集口腔诊疗、教学和科研为一体的现代化口腔综合医院,是您看牙的放心信赖之选!以上就是对龅牙治疗方法的介绍,由于篇幅有限,如果您还有其他疑问或需要帮助,还可以点击在线咨询,或者拔打免费热线:020-62266666。百度100遍,不如咨询1次。
(版权归穗华口腔医院所有,如需转载请注明文章来源:穗华口腔医院 http://www.62266666.com)
穗华品牌
穗华口腔医院作为暨南大学授权合作医院,是依托国内外权威硕博专家医资和口腔医学优势所建立的一所集临床、教学、科研、预防为一体的现代化口腔专科医院,开创了中国医疗改革创新示范的先河。
快速通道
医院动态
1
2026穗华口腔“一老一小”专利技术节 | 数智化革新 专利矫好牙
2
2026穗华口腔“一老一小”专利技术节 | 守护天然牙 健康全口牙
3
高手交锋——12位医生同台展示正畸病例,专家点评助力临床精进
4
传承九届——穗华口腔以病例为抓手,筑牢正畸人才培养根基
5
穗华口腔十年庆典圆满举办,粤港澳临床医学学会致贺寄望
查看完整动态>
推荐专家
收起
特色诊疗项目
收起






























































