牙齿美容修复的效果如何?
时间:2015-11-17 13:05:01 来源:未知 作者:穗华口腔医院 阅读量:264
导读
近些年来,牙齿美容修复由于其突出的优势受到广大爱美者的追棒,相比传统的口腔正畸,牙齿美容修复具有不拔牙、矫治时间短的特点。那么,牙齿美容修复效......
近些年来,牙齿美容修复由于其突出的优势受到广大爱美者的追棒,相比传统的口腔正畸,牙齿美容修复具有不拔牙、矫治时间短的特点。那么,牙齿美容修复效果如何?下文请看专家介绍。
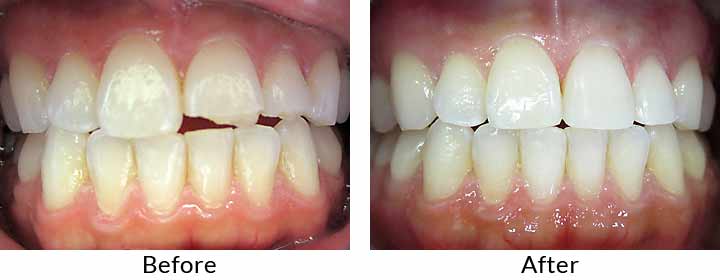
牙齿美容修复前后对比
广州穗华口腔专家介绍,牙齿美容修复在不损伤牙齿、牙龈的前提下根据牙槽骨的形态对牙齿做修整。在做牙齿美容修复时首先适度调整歪斜的牙齿,精细打磨凸出部位1-2毫米;然后在原牙外包以整齐洁白的牙齿美容修复,保护原牙,一口整齐亮白的牙齿,就大功告成了,且不着痕迹。
牙齿美容修复的六大特色:
1、自然持久
德国VITA比色技术,以26阶牙色层次化类比,为你调配适合牙色,更采用三维数字成型,使之呈现持久天然光泽。
2、不伤原牙
牙齿美容修复在不损伤牙齿、牙龈的前提下根据牙槽骨的形态对牙齿做修整,仅对不整齐的凸出部位进行精细打磨,无需拨牙。
3、坚固耐磨
选用国际材料,令修复后牙齿坚固耐磨,牙齿美容修复与原牙紧密贴合,有效保护原牙,自然美观。
4、无不良反应
无以往存在的牙龈红肿、黑线等现象。
5、终生美齿
如能按医嘱进行保养,可相伴终生。
6、高效无痛
全程无痛,高效快速,只需7天,到院两次,即可完成。
温馨提示:广州穗华口腔 的牙齿美容修复技术适用于暴牙、虎牙、老鼠牙(个小牙)、地包天、前牙拥挤、前牙稀疏、牙列不齐、牙齿缺损、烤瓷失败、错过矫正黄金期的成年人以及重度四环素牙患者等。
(版权归穗华口腔医院所有,如需转载请注明文章来源:穗华口腔医院 http://www.62266666.com)
穗华品牌
穗华口腔医院作为暨南大学授权合作医院,是依托国内外权威硕博专家医资和口腔医学优势所建立的一所集临床、教学、科研、预防为一体的现代化口腔专科医院,开创了中国医疗改革创新示范的先河。
快速通道
医院动态
1
2026穗华口腔“一老一小”专利技术节 | 数智化革新 专利矫好牙
2
2026穗华口腔“一老一小”专利技术节 | 守护天然牙 健康全口牙
3
高手交锋——12位医生同台展示正畸病例,专家点评助力临床精进
4
传承九届——穗华口腔以病例为抓手,筑牢正畸人才培养根基
5
穗华口腔十年庆典圆满举办,粤港澳临床医学学会致贺寄望
查看完整动态>
推荐专家
收起
特色诊疗项目
收起






























































