全球牙齿美容修复的8大旗帜标准制作
时间:2015-08-28 17:46:58 来源:未知 作者:穗华口腔医院 阅读量:215
导读
穗华牙齿美容修复,全面强力升级传统烤瓷牙,引进国外牙冠技术,采用国际顶尖的仿生全瓷材料,资深专家亲诊,个性化定制美牙方案,纯自然光牙色对比,为......
穗华牙齿美容修复,全面强力升级传统烤瓷牙,引进国外牙冠技术,采用国际的仿生全瓷材料,资深专家亲诊,个性化定制美牙方案,纯自然光牙色对比,为快速矫正成人畸形牙提供多种修复方案,效果美观自然,坚固耐用。
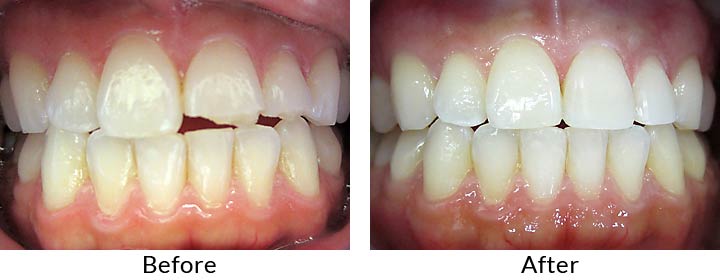
牙齿美容修复前后对比
穗华口腔美牙也有金标准,穗华口腔牙齿美容修复坚持全球美牙修复8大旗帜标准制作,让你放心享受欧洲快捷、的仿生美牙技术。
标准一:全景扫描牙齿排列情况,避免医生经验主义错误。
标准二:硅橡胶取模表面光滑清晰,1:1精准比例。
标准三:脸型、唇型、肤色,数字化综合制定黄金美学美牙方案。
标准四:纯自然光下德国VITA比色,29种色阶高效对照。
标准五:初治疗中,适应、观察、调试,达到效果。
标准六:临时牙冠自凝医学材料,3D雕制护齿。
标准七:德国西诺德精密仪器360度立体呈现。
标准八:天然真牙,齿间效果绽放。
选择一家好的医院 挑选好的医师
穗华口腔医院是拥有百年人文底蕴的暨南大学附属口腔医院临床教学医院,是广东省卫生厅批准成立的口腔专科医院,是集口腔诊疗、教学和科研为一体的现代化口腔综合医院,是您看牙的放心信赖之选!以上就是对龅牙治疗方法的介绍,由于篇幅有限,如果您还有其他疑问或需要帮助,还可以点击在线咨询,或者拔打免费热线:020-62266666。百度100遍,不如咨询1次。
(版权归穗华口腔医院所有,如需转载请注明文章来源:穗华口腔医院 http://www.62266666.com)
穗华品牌
穗华口腔医院作为暨南大学授权合作医院,是依托国内外权威硕博专家医资和口腔医学优势所建立的一所集临床、教学、科研、预防为一体的现代化口腔专科医院,开创了中国医疗改革创新示范的先河。
快速通道
医院动态
1
2026穗华口腔“一老一小”专利技术节 | 数智化革新 专利矫好牙
2
2026穗华口腔“一老一小”专利技术节 | 守护天然牙 健康全口牙
3
高手交锋——12位医生同台展示正畸病例,专家点评助力临床精进
4
传承九届——穗华口腔以病例为抓手,筑牢正畸人才培养根基
5
穗华口腔十年庆典圆满举办,粤港澳临床医学学会致贺寄望
查看完整动态>
推荐专家
收起
特色诊疗项目
收起






























































