四环素牙美白后应怎么护理
时间:2015-08-28 16:39:08 来源:未知 作者:穗华口腔医院 阅读量:271
导读
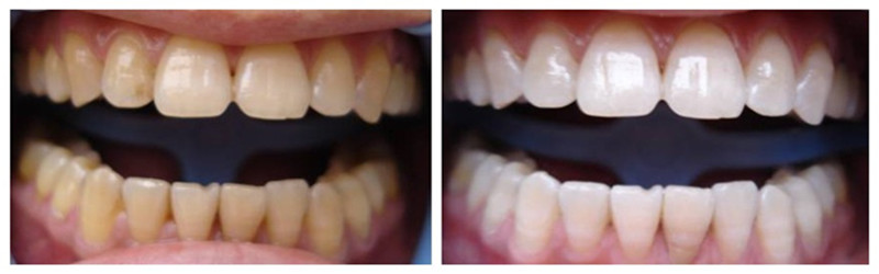
四环素牙如同氟斑牙一样,也是一种色素牙,对口腔健康也有严重的危害,所以患有四环素牙需要及时进行美白治疗。那么四环素牙美白后如何做好护理工作呢?......
四环素牙如同氟斑牙一样,也是一种色素牙,对口腔健康也有严重的危害,所以患有四环素牙需要及时进行美白治疗。那么四环素牙美白后如何做好护理工作呢?
穗华口腔医院专家指出:
一、在治疗后的两个星期以内一定不要吃过于刺激的食品,比如:过凉、过酸、等食物。
二、在治疗后的二十天之内牙齿有轻微发酸的现象,这是主要由于牙体过敏所导致的,属于正常现象,但是如果症状比较重的话,大家要及时的到医院进行复诊检查和治疗。
三、同时还要注意口腔清洁,尽量在时隔半年或是一年要做牙齿洁护。

穗华口腔医院美白技术采用恒温纳米光,是现阶段的牙齿美白技术。它在冷光美白的基础上,首创过氧化氢加硝酸钾和氟化物结合的美白方式,打破了传统冷光美白的局限性,克服了传统冷光美白时牙齿酸痛,美白后牙龈过敏的窘境,具有高效快速、保护牙齿、舒适无痛、效果持久等优点。
穗华口腔医院在国内率先将皓齿美白技术引入临床治疗,治疗牙齿外源性着色和内源性着色等病例,均取得了良好的效果,积累了丰富的经验,达到国际领先水平。同时,目前我专科每年诊治省内大量转诊口腔修复疑难病例,已成为华南地区处理疑难病例及失败后再处理病例的上级专科。
如果您还想了解更多的情况,欢迎在线免费咨询穗华口腔医院专家,或拔打我们的热线:020-62266666,也欢迎您到我们医院现场咨询,穗华口腔专家将竭诚为您服务。
(版权归穗华口腔医院所有,如需转载请注明文章来源:穗华口腔医院 http://www.62266666.com)
穗华品牌
穗华口腔医院作为暨南大学授权合作医院,是依托国内外权威硕博专家医资和口腔医学优势所建立的一所集临床、教学、科研、预防为一体的现代化口腔专科医院,开创了中国医疗改革创新示范的先河。
快速通道
医院动态
1
2026穗华口腔“一老一小”专利技术节 | 数智化革新 专利矫好牙
2
2026穗华口腔“一老一小”专利技术节 | 守护天然牙 健康全口牙
3
高手交锋——12位医生同台展示正畸病例,专家点评助力临床精进
4
传承九届——穗华口腔以病例为抓手,筑牢正畸人才培养根基
5
穗华口腔十年庆典圆满举办,粤港澳临床医学学会致贺寄望
查看完整动态>
推荐专家
收起
特色诊疗项目
收起






























































