牙齿发黑发黄怎么美白
时间:2015-08-28 15:08:07 来源:未知 作者:穗华口腔医院 阅读量:282
导读
生活压力大,很多人遇到烦心事习惯抽根烟来缓解心情,加班的时候会喝杯咖啡来提提神,但这样很容导致牙齿发黄发黑,不仅影响形象,还严重影响口腔健康,......
生活压力大,很多人遇到烦心事习惯抽根烟来缓解心情,加班的时候会喝杯咖啡来提提神,但这样很容导致牙齿发黄发黑,不仅影响形象,还严重影响口腔健康,那么牙齿发黄发黄怎么美白呢?
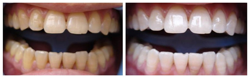
穗华口腔医院专家介绍,牙齿发黄发黑总是会给人带来一些小尴尬,影响自信,有些不良的习惯容易引起牙齿发黄发黑,如不注意口腔卫生,刷牙方式不正确,经常抽烟等。另外,一些口腔疾病和内在因素也会造成牙齿发黑发黄,如:氟斑牙、药物引起的黄黑牙。出现黄牙的症状应及时前往医院做治疗,以免影响口腔健康。

冷光美白技术是现在常使用的美白方法,它有很好的美白效果,可以帮你彻底的解决牙齿发黄的现象。该方法的适用范围也是很广的,它适合于轻、中度的四环素牙,还有长时间吸烟,喝茶,喝咖啡等造成的牙齿表面的色素沉淀,安全有效的起到美白牙齿的效果。
穗华口腔医院美白技术采用恒温纳米光,是现阶段的牙齿美白技术。它在冷光美白的基础上,首创过氧化氢加硝酸钾和氟化物结合的美白方式,打破了传统冷光美白的局限性,克服了传统冷光美白时牙齿酸痛,美白后牙龈过敏的窘境,具有高效快速、保护牙齿、舒适无痛、效果持久等优点。
如果您还想了解更多的情况,欢迎在线免费咨询穗华口腔医院专家,或拔打我们的热线:020-62266666,也欢迎您到我们医院现场咨询,穗华口腔专家将竭诚为您服务。
(版权归穗华口腔医院所有,如需转载请注明文章来源:穗华口腔医院 http://www.62266666.com)
穗华品牌
穗华口腔医院作为暨南大学授权合作医院,是依托国内外权威硕博专家医资和口腔医学优势所建立的一所集临床、教学、科研、预防为一体的现代化口腔专科医院,开创了中国医疗改革创新示范的先河。
快速通道
医院动态
1
2026穗华口腔“一老一小”专利技术节 | 数智化革新 专利矫好牙
2
2026穗华口腔“一老一小”专利技术节 | 守护天然牙 健康全口牙
3
高手交锋——12位医生同台展示正畸病例,专家点评助力临床精进
4
传承九届——穗华口腔以病例为抓手,筑牢正畸人才培养根基
5
穗华口腔十年庆典圆满举办,粤港澳临床医学学会致贺寄望
查看完整动态>
推荐专家
收起
特色诊疗项目
收起






























































