美容修复和烤瓷牙的区别
时间:2015-08-31 08:59:41 来源:未知 作者:穗华口腔医院 阅读量:273
导读
穗华口腔数字修复中心专家介绍,美容修复是当今流行的牙齿美容技术,与传统烤瓷牙相比,更加强调牙齿的美容效果,很多人会混淆美容修复和烤瓷牙的区别......
穗华口腔数字修复中心专家介绍,美容修复是当今流行的牙齿美容技术,与传统烤瓷牙相比,更加强调牙齿的美容效果,很多人会混淆美容修复和烤瓷牙的区别,误认为美容修复就是烤瓷牙,其实不然,那么美容修复和烤瓷牙有什么区别呢?下文为大家介绍一下。

美容修复VS烤瓷牙
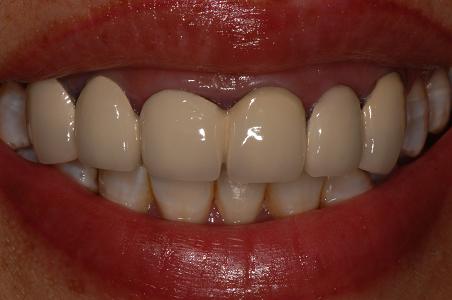
穗华纯欧仿生牙齿美容冠修复
通过全景机及3D数码技术,分析牙齿形态及病症,量身设计美容修复方案。再采用专业印模技术和进口全瓷材料定制牙冠,提供8种颜色内冠个性选择,牙色、牙形乃至牙弓弧度都能达到真牙效果,并能够和邻牙自然结合,符合牙齿排列黄金比例。
适应范围:黄牙、黑牙、四环素牙、氟斑牙、外因性色素牙(咖啡、茶渍、烟渍沉积)。龅牙(地包天)、牙齿不齐、牙齿缺损、烤瓷失败。
优势:美观性能好、强度高、不容易脱落
选择一家好的医院 挑选好的医师
穗华口腔医院是拥有百年人文底蕴的暨南大学附属口腔医院临床教学医院,是广东省卫生厅批准成立的口腔专科医院,是集口腔诊疗、教学和科研为一体的现代化口腔综合医院,是您看牙的放心信赖之选!以上就是对龅牙治疗方法的介绍,由于篇幅有限,如果您还有其他疑问或需要帮助,还可以点击在线咨询,或者拔打免费热线:020-62266666。百度100遍,不如咨询1次。
(版权归穗华口腔医院所有,如需转载请注明文章来源:穗华口腔医院 http://www.62266666.com)
穗华品牌
穗华口腔医院作为暨南大学授权合作医院,是依托国内外权威硕博专家医资和口腔医学优势所建立的一所集临床、教学、科研、预防为一体的现代化口腔专科医院,开创了中国医疗改革创新示范的先河。
快速通道
医院动态
1
2026穗华口腔“一老一小”专利技术节 | 数智化革新 专利矫好牙
2
2026穗华口腔“一老一小”专利技术节 | 守护天然牙 健康全口牙
3
高手交锋——12位医生同台展示正畸病例,专家点评助力临床精进
4
传承九届——穗华口腔以病例为抓手,筑牢正畸人才培养根基
5
穗华口腔十年庆典圆满举办,粤港澳临床医学学会致贺寄望
查看完整动态>
推荐专家
收起
特色诊疗项目
收起






























































