牙错位出现的原因和特征
时间:2015-08-27 17:20:27 来源:未知 作者:穗华口腔医院 阅读量:182
导读
在日常的生活中,我们的牙齿经常会出现各式各样的问题,比如牙齿缺损、牙齿错位、黄牙等,这些牙齿问题给我们的生活带来很多不便,使我们的形象和健康受......
在日常的生活中,我们的牙齿经常会出现各式各样的问题,比如牙齿缺损、牙齿错位、黄牙等,这些牙齿问题给我们的生活带来很多不便,使我们的形象和健康受损,在这里,着重为大家揭晓牙错位出现的原因和特征。
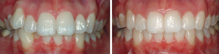
牙错位矫正前后对比
牙错位的原因与特征
1、导致牙齿出现这种情况的原因:由于牙齿排列不齐,牙与牙之间的不良接触关系,导致牙菌斑、食物残渣的停留,如果不及时清除这些牙菌斑,牙菌斑会不断钙化沉积形成牙结石粘附在牙颈部及牙龈下变成龈下牙石,刺激牙龈产生牙龈炎;牙菌斑直接与牙龈缘接触,也会产生牙龈炎,因为排列不齐、咬合不好的牙齿,咀嚼食物时个别牙齿错位,承受的力量过大,容易引起牙周负担过多而发生牙周疾患,出现牙龈红肿、牙龈萎缩、牙根不断外露等症状。
2、牙错位的特征有:牙齿排列不齐、上下牙弓间的牙合关系异常、颌骨大小形态位置异常等。专家指出,牙错位因长期受创伤性咬合,有可能引起该牙龈坏死,其后牙齿变色,若不及时治疗,可造成慢性根尖周炎而出现瘘管。在牙齿排列不整齐的人群中,有80%以上的人有不同程度牙龈炎、牙龈出血、牙结石形成及牙面色素沉着、口臭、龋齿等现象。
在此,建议大家应考虑对医院的选择,及时的矫正牙错位。正规专业的口腔医院自然在设备,医师,环境,甚至费用方面都会有一定的保障,毕竟终目的是为了实现牙错位的矫正。
广州穗华口腔专家通过各种矫正装置来调整颜面骨、牙齿、颌面神经肌肉三者之间的平衡和协调。就是说矫正是调整上下颌骨之间,上下牙齿之间以及牙齿与颌骨之间和联系它们的神经肌肉之间不正常的关系。形象地说:我们的矫正目的主要是:改善面型;排齐牙齿;提高咀嚼效能(牙齿的基本功能)。使每位成功接受穗华口腔正畸的朋友,都能灿烂笑容,吃饭更香,吸收更好。
选择一家好的医院,挑选好的医师,给自己的牙齿矫正。穗华口腔医院是拥有百年人文底蕴的暨南大学附属口腔医院临床教学医院,是广东省卫生厅批准成立的口腔专科医院,是集口腔诊疗、教学和科研为一体的现代化口腔综合医院,是您看牙的放心信赖之选!如果您还有其他疑问或需要帮助,还可以点击在线咨询,或者拔打免费电话:020-62266666。百度100遍,不如咨询1次。
(版权归穗华口腔医院所有,如需转载请注明文章来源:穗华口腔医院 http://www.62266666.com)
穗华品牌
穗华口腔医院作为暨南大学授权合作医院,是依托国内外权威硕博专家医资和口腔医学优势所建立的一所集临床、教学、科研、预防为一体的现代化口腔专科医院,开创了中国医疗改革创新示范的先河。
快速通道
医院动态
1
2026穗华口腔“一老一小”专利技术节 | 数智化革新 专利矫好牙
2
2026穗华口腔“一老一小”专利技术节 | 守护天然牙 健康全口牙
3
高手交锋——12位医生同台展示正畸病例,专家点评助力临床精进
4
传承九届——穗华口腔以病例为抓手,筑牢正畸人才培养根基
5
穗华口腔十年庆典圆满举办,粤港澳临床医学学会致贺寄望
查看完整动态>
推荐专家
收起
特色诊疗项目
收起






























































