前牙拥挤如何矫正
时间:2015-08-27 15:36:02 来源:未知 作者:穗华口腔医院 阅读量:172
导读
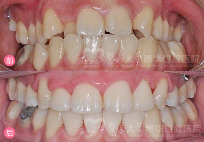
前牙拥挤使牙的咬合能力减弱,咬合关系错乱,牙齿容易因碰撞而受伤。同时,错乱的牙缝中常有食物残渣,容易造成龋齿、牙周炎等疾患。那么前牙拥挤怎样矫......
前牙拥挤使牙的咬合能力减弱,咬合关系错乱,牙齿容易因碰撞而受伤。同时,错乱的牙缝中常有食物残渣,容易造成龋齿、牙周炎等疾患。那么前牙拥挤怎样矫正?
穗华口腔医院专家指出,前牙拥挤有两种矫正方法:
方法一:隐形矫正
无托槽隐形矫正技术是隐形正畸中的领先技术,它一改传统正畸的“钢丝铁牙”,能在无钢丝、无托槽的状态下完成矫治,让别人看不到你戴了牙套,不影响美观,可自行摘戴 ,在不知不觉中恢复正常牙齿形态,重塑完美脸型。该技术集美观、舒适、方便、清洁、便捷优势于一身。
方法二:美容冠
目前全新的牙齿矫正技术是“美容冠”牙齿美容技术。"美容冠"牙齿美容技术是一种新兴牙齿美容技术,在传统烤瓷牙的基础上强调牙齿的美容效果,对错位牙、畸形牙的临床冠部分施以专业手段,后用美容冠加以修复。具有美牙不拔牙,无痛苦,时间短,牙齿坚固,多年后牙龈不会出现黑线等优点,从而达到终生有保障的美牙效果。

穗华口腔医院运用计算机测量、辅助分析及先进的矫治技术,评估不同患者的牙齿与面颌部情况,量身设计个性化的口腔正畸治疗方案,科学的治疗方案,更使正畸时间缩短至传统正畸技术时间的1/3。其中,个性化舌侧矫治技术、成人高难度病例矫治已成为中心的特色及强项,每年诊治省内外大量转诊正畸疑难病例,是华南地区处理疑难病例及失败后再处理病例的重点专科。
如果您还想了解更多的情况,欢迎在线免费咨询穗华口腔医院专家,或拔打我们的热线:020-62266666,也欢迎您到我们医院现场咨询,穗华口腔专家将竭诚为您服务。
(版权归穗华口腔医院所有,如需转载请注明文章来源:穗华口腔医院 http://www.62266666.com)
穗华品牌
穗华口腔医院作为暨南大学授权合作医院,是依托国内外权威硕博专家医资和口腔医学优势所建立的一所集临床、教学、科研、预防为一体的现代化口腔专科医院,开创了中国医疗改革创新示范的先河。
快速通道
医院动态
1
2026穗华口腔“一老一小”专利技术节 | 数智化革新 专利矫好牙
2
2026穗华口腔“一老一小”专利技术节 | 守护天然牙 健康全口牙
3
高手交锋——12位医生同台展示正畸病例,专家点评助力临床精进
4
传承九届——穗华口腔以病例为抓手,筑牢正畸人才培养根基
5
穗华口腔十年庆典圆满举办,粤港澳临床医学学会致贺寄望
查看完整动态>
推荐专家
收起
特色诊疗项目
收起






























































