孩子矫正牙齿的佳年龄
时间:2015-08-26 18:00:14 来源:未知 作者:穗华口腔医院 阅读量:365
导读
寒假期就要到了,寒假时间比较充裕,由于正式配戴矫治器前的一个月,患者要到医院拍片、咬牙膜、确定治疗计划、拔牙等,较为繁琐,很多家长利用这个时间......
寒假期就要到了,寒假时间比较充裕,由于正式配戴矫治器前的一个月,患者要到医院拍片、咬牙膜、确定治疗计划、拔牙等,较为繁琐,很多家长利用这个时间去医院给孩子把矫牙的“前期工作”做完,降低矫治器对孩子学习的影响力。很多家长会疑问孩子在什么年龄阶段矫正牙齿,下文为大家揭晓。
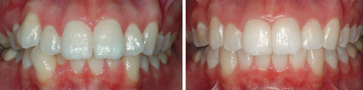
牙齿矫正前后对比
牙齿矫正又称为口腔正畸,是利用矫治器,通过正畸或外科手术等方法矫正牙齿、颌骨畸形的过程。广州穗华口腔专家表示,学生是矫牙的主要群体,不少家长就让孩子利用寒假到医院把矫牙的“前期工作”做完,戴上矫治器后,每月按时复诊就可以了。通常矫牙年龄是12-14岁,此时孩子的牙齿已基本换完,牙弓基本发育完全,医生可以对牙齿畸形的类型作出明确诊断。同时,这个年龄段的孩子,骨骼改进速度快,可塑性更高,过了这个年龄,虽然也可以做矫正,但会增加矫正难度。
在矫牙的学生中,常见的是牙列拥挤、牙齿不整齐、龅牙、地包天等问题。牙列拥挤往往是牙齿量与骨量不协调导致的,牙齿多,骨头小,导致牙齿没有地方排列整齐,这也是一部分人矫牙前需要拔牙的原因。另外,蛀牙也有可能诱发牙齿不整齐。如果孩子因为蛀牙使得乳齿过早缺失,两边的牙齿就会往缺失的地方倒,导致恒牙不能正常长出,终使得牙齿不整齐。
对此,穗华口腔专家建议,孩子从长牙开始就应适当咀嚼一些较硬的食物,不能只吃软食,否则颌骨、牙齿得不到刺激,发育就会受到限制,咀嚼硬食能帮助颌骨发育。
选择一家好的医院,挑选好的医师,给自己的牙齿矫正。穗华口腔医院是拥有百年人文底蕴的暨南大学附属口腔医院临床教学医院,是广东省卫生厅批准成立的口腔专科医院,是集口腔诊疗、教学和科研为一体的现代化口腔综合医院,是您看牙的放心信赖之选!如果您还有其他疑问或需要帮助,还可以点击在线咨询,或者拔打免费电话:020-62266666。百度100遍,不如咨询1次。
(版权归穗华口腔医院所有,如需转载请注明文章来源:穗华口腔医院 http://www.62266666.com)
穗华品牌
穗华口腔医院作为暨南大学授权合作医院,是依托国内外权威硕博专家医资和口腔医学优势所建立的一所集临床、教学、科研、预防为一体的现代化口腔专科医院,开创了中国医疗改革创新示范的先河。
快速通道
医院动态
1
2026穗华口腔“一老一小”专利技术节 | 数智化革新 专利矫好牙
2
2026穗华口腔“一老一小”专利技术节 | 守护天然牙 健康全口牙
3
高手交锋——12位医生同台展示正畸病例,专家点评助力临床精进
4
传承九届——穗华口腔以病例为抓手,筑牢正畸人才培养根基
5
穗华口腔十年庆典圆满举办,粤港澳临床医学学会致贺寄望
查看完整动态>
推荐专家
收起
特色诊疗项目
收起






























































