儿童地包天矫正要多少钱
时间:2015-08-26 15:57:27 来源:未知 作者:穗华口腔医院 阅读量:234
导读
每个家长都希望自己孩子有一张好看的脸,但是有很多孩子都患有地包天,而地包天对孩子外观的影响是非常大的。在众多畸形牙问题中,地包天矫正的难度是......
每个家长都希望自己孩子有一张好看的脸,但是有很多孩子都患有地包天,而地包天对孩子外观的影响是非常大的。在众多畸形牙问题中,地包天矫正的难度是的。地包天矫正的时间越早,难度越低,花费的金钱和时间也越少。
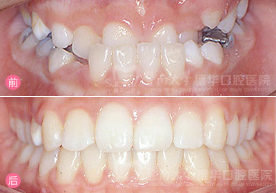
牙齿在正常情况下,当上下牙齿咬合时,应该是上前牙咬在下前牙的外面,若相反的话即下前牙咬在上前牙的外面,就是“地包天”。
一般来说,地包天矫正的时间是在孩子3岁到6岁之间,在这个时间矫正难度较小,通过牙齿矫正器就可以达到很好的效果。成人矫正地包天的难度较大,矫正成人地包天的效果是有限的。现在成人矫正地包天的方法只有美容冠和外科手术。

穗华口腔医院专家指出:儿童地包天矫正费用是很多人都想知道的问题,但是地包天矫正的价格是不能一概而论的。因为地包天矫正的价格受到很多因素的影响。
一般来是说儿童地包天矫正难度和矫正费用是成正比的。如果孩子的地包天情况不严重,那么矫正的难度会较低,如果孩子地包天情况严重,费用也会相应的增加。
还有就是选择的矫正方法,不同的矫正方法和技术需要的设备都是不一样的,因此患者可以根据自己的具体情况选择适合自己的矫正方法,这也会使得矫正价格有差异。
穗华口腔医院运用计算机测量、辅助分析及先进的矫治技术,评估不同患者的牙齿与面颌部情况,量身设计个性化的口腔正畸治疗方案,科学的治疗方案,更使正畸时间缩短至传统正畸技术时间的1/3。其中,个性化舌侧矫治技术、成人高难度病例矫治已成为中心的特色及强项,每年诊治省内外大量转诊正畸疑难病例,是华南地区处理疑难病例及失败后再处理病例的重点专科。
如果您还想了解更多的情况,欢迎在线免费咨询穗华口腔医院专家,或拔打我们的热线:020-62266666,也欢迎您到我们医院现场咨询,穗华口腔专家将竭诚为您服务。
(版权归穗华口腔医院所有,如需转载请注明文章来源:穗华口腔医院 http://www.62266666.com)
穗华品牌
穗华口腔医院作为暨南大学授权合作医院,是依托国内外权威硕博专家医资和口腔医学优势所建立的一所集临床、教学、科研、预防为一体的现代化口腔专科医院,开创了中国医疗改革创新示范的先河。
快速通道
医院动态
1
2026穗华口腔“一老一小”专利技术节 | 数智化革新 专利矫好牙
2
2026穗华口腔“一老一小”专利技术节 | 守护天然牙 健康全口牙
3
高手交锋——12位医生同台展示正畸病例,专家点评助力临床精进
4
传承九届——穗华口腔以病例为抓手,筑牢正畸人才培养根基
5
穗华口腔十年庆典圆满举办,粤港澳临床医学学会致贺寄望
查看完整动态>
推荐专家
收起
特色诊疗项目
收起






























































