四环素牙如何美白
时间:2015-08-24 14:20:38 来源:未知 作者:穗华口腔医院 阅读量:248
导读
四环素牙齿是比较严重的牙齿着色问题,这是因为牙齿在矿化期的时候,服用过多的四环素类的药物导致的。四环素对钙有很强的亲和力,这就会让四环素经过血......
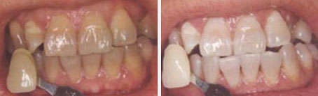
四环素牙齿是比较严重的牙齿着色问题,这是因为牙齿在矿化期的时候,服用过多的四环素类的药物导致的。四环素对钙有很强的亲和力,这就会让四环素经过血液的循环,很容易和牙齿结合在一起。阳光有很大的促进作用,它能让四环素牙齿白变成棕褐色甚至的黑灰色。所以这种程度的着色是刷牙的美白牙膏不能解决的,只能采用其他方式的美白。
四环素牙齿的危害:
、就是影响患者的外在形象,如果有了一口四环素牙齿你还能正常的说话吗?影响患者得生活、交际、甚至是工作。
第二、影响到牙齿的健康,因为四环素牙会引起牙釉质发育不全,这样一来就会加快牙齿矿化的速度,导致牙体过敏和脆化,引发各种口腔疾病,如蛀牙等。同时还会导致骨组织生长缓慢。
第三、影响患者的心理健康,会造成患者自尊心的伤害,有些患者还不变得孤僻自暴自弃,对生活失去希望。

穗华口腔医院美白技术采用恒温纳米光,是现阶段的牙齿美白技术。它在冷光美白的基础上,首创过氧化氢加硝酸钾和氟化物结合的美白方式,打破了传统冷光美白的局限性,克服了传统冷光美白时牙齿酸痛,美白后牙龈过敏的窘境,具有高效快速、保护牙齿、舒适无痛、效果持久等优点。
穗华口腔牙齿美白优势:
1、即刻美白。独特配方美白因子能够极速分解牙齿深层的沉淀色素,15分钟产生美白作用,缩短治疗时间,减少患者张口时长,美白程度迅速提高5-14个色阶。
2、健康环保。同步提高牙齿护理,舒适美白且科学保护牙齿,安全有效的降解牙色素,操作过程不接触牙龈,完全避免了对牙神经的伤害,同时对牙结构不会造成任何伤害。
3、自然美观。区别于常规漂白、钙化的方式,而是通过氟化剂保护牙齿,过氧化剂美白牙齿,从牙釉质渗透到牙本质,分解深层牙色素。让牙齿自然洁白,富光泽、有透明感。
4、持久美白。在皓齿美白技术的美白加保护的原理下,氟化剂促使牙釉质新生而形成对牙齿的保护,美白效果更加明显。美白后的牙齿也能得到持久保护。
如果您还想了解更多的情况,欢迎在线免费咨询穗华口腔医院专家,或拔打我们的热线:020-62266666,也欢迎您到我们医院现场咨询,穗华口腔专家将竭诚为您服务。
(版权归穗华口腔医院所有,如需转载请注明文章来源:穗华口腔医院 http://www.62266666.com)
穗华品牌
穗华口腔医院作为暨南大学授权合作医院,是依托国内外权威硕博专家医资和口腔医学优势所建立的一所集临床、教学、科研、预防为一体的现代化口腔专科医院,开创了中国医疗改革创新示范的先河。
快速通道
医院动态
1
2026穗华口腔“一老一小”专利技术节 | 数智化革新 专利矫好牙
2
2026穗华口腔“一老一小”专利技术节 | 守护天然牙 健康全口牙
3
高手交锋——12位医生同台展示正畸病例,专家点评助力临床精进
4
传承九届——穗华口腔以病例为抓手,筑牢正畸人才培养根基
5
穗华口腔十年庆典圆满举办,粤港澳临床医学学会致贺寄望
查看完整动态>
推荐专家
收起
特色诊疗项目
收起






























































