引起四环素牙的原因有哪些
时间:2015-08-24 14:13:30 来源:未知 作者:穗华口腔医院 阅读量:255
导读
四环素牙是指四环素族药物引起的着色牙,属于口腔科疾玻病因是在牙的发育矿化期服用四环素族药物,可被结合到牙组织内,使牙着色。四环素还可在母体通过......
四环素牙是指四环素族药物引起的着色牙,属于口腔科疾玻病因是在牙的发育矿化期服用四环素族药物,可被结合到牙组织内,使牙着色。四环素还可在母体通过胎盘引起乳牙着色。
穗华口腔医院专家介绍引起四环素牙的原因:
1、四环素族药物本身的颜色:去甲基金霉素呈镉黄土霉素呈柠檬黄色。
2、降解四环素而呈的色泽因为四环素对光敏感可以在紫外线或日光下变色。
3、四环素在牙本质内因结合部位的深浅而使牙本质着色的程度有所不同当着色带越靠近釉牙本质界时越易着色因而在婴儿早期形成外层牙本质时用药影响。
4、与釉质本身的结构有关在严重釉质发育不全釉质完全丧失时则着色的牙本质明显外露;如果轻度釉质发育不全釉质丧失透明度而呈白垩色时可遮盖着色的牙本质反而使牙色接近正常。

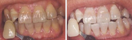
冷光美白技术是现在常使用的美白方法,它有很好的美白效果,可以帮你彻底的解决牙齿发黄的现象。该方法的适用范围也是很广的,它适合于轻、中度的四环素牙,还有长时间吸烟,喝茶,喝咖啡等造成的牙齿表面的色素沉淀,安全有效的起到美白牙齿的效果。
穗华口腔医院美白技术采用恒温纳米光,是现阶段的牙齿美白技术。它在冷光美白的基础上,首创过氧化氢加硝酸钾和氟化物结合的美白方式,打破了传统冷光美白的局限性,克服了传统冷光美白时牙齿酸痛,美白后牙龈过敏的窘境,具有高效快速、保护牙齿、舒适无痛、效果持久等优点。
如果您还想了解更多的情况,欢迎在线免费咨询穗华口腔医院专家,或拔打我们的热线:020-62266666,也欢迎您到我们医院现场咨询,穗华口腔专家将竭诚为您服务。
(版权归穗华口腔医院所有,如需转载请注明文章来源:穗华口腔医院 http://www.62266666.com)
穗华品牌
穗华口腔医院作为暨南大学授权合作医院,是依托国内外权威硕博专家医资和口腔医学优势所建立的一所集临床、教学、科研、预防为一体的现代化口腔专科医院,开创了中国医疗改革创新示范的先河。
快速通道
医院动态
1
2026穗华口腔“一老一小”专利技术节 | 数智化革新 专利矫好牙
2
2026穗华口腔“一老一小”专利技术节 | 守护天然牙 健康全口牙
3
高手交锋——12位医生同台展示正畸病例,专家点评助力临床精进
4
传承九届——穗华口腔以病例为抓手,筑牢正畸人才培养根基
5
穗华口腔十年庆典圆满举办,粤港澳临床医学学会致贺寄望
查看完整动态>
推荐专家
收起
特色诊疗项目
收起






























































