怎么消除烟渍牙
时间:2015-08-24 14:00:43 来源:未知 作者:穗华口腔医院 阅读量:286
导读
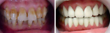
您有笑不漏齿的尴尬吗?您有为自己的牙齿感到沮丧自卑吗?有些人的牙齿表面会见到有黄褐色或黑褐色的着色,很不美观。这就是通常所说的烟渍牙,那么,怎么消......
您有笑不漏齿的尴尬吗?您有为自己的牙齿感到沮丧自卑吗?有些人的牙齿表面会见到有黄褐色或黑褐色的着色,很不美观。这就是通常所说的烟渍牙,那么,怎么消除烟渍牙?
穗华口腔医院专家介绍,烟渍以及茶渍形成的原因基本一样,那就是由于人的口腔环境是酸性,长期与口腔内的食物残渣发生化学反应,在牙表面上附着一些非完全反应衍生物,其实也就是一种盐化合物,尤其是有烟、茶、咖啡嗜好的朋友,由于上述东西里面含有一种“咖啡碱”,更容易在酸性的口腔环境中形成牙渍,时间长了,再形成比较难清理掉的牙石。

很多人可能会到超市买各种各样的美白牙膏和牙刷,想一次来美白牙齿。试过的人一定知道,这对牙齿的美白并没有多大效果。要想摆脱黄黑牙,自己能做的首先就是戒烟,少喝浓茶、咖啡等深色饮料。
冷光美白技术是现在常使用的美白方法,它有很好的美白效果,可以帮你彻底的解决牙齿发黄的现象。该方法的适用范围也是很广的,它适合于轻、中度的四环素牙,还有长时间吸烟,喝茶,喝咖啡等造成的牙齿表面的色素沉淀,安全有效的起到美白牙齿的效果。冷光美白的操作时间不用很长,仅需30分钟。低温冷光,完全避免了操作过程中对牙神经的刺激,被公认是目前有效及安全的牙齿脱色美白技术。
穗华口腔医院美白技术采用恒温纳米光,是现阶段的牙齿美白技术。它在冷光美白的基础上,首创过氧化氢加硝酸钾和氟化物结合的美白方式,打破了传统冷光美白的局限性,克服了传统冷光美白时牙齿酸痛,美白后牙龈过敏的窘境,具有高效快速、保护牙齿、舒适无痛、效果持久等优点。
如果您还想了解更多的情况,欢迎在线免费咨询穗华口腔医院专家,或拔打我们的热线:020-62266666,也欢迎您到我们医院现场咨询,穗华口腔专家将竭诚为您服务。
(版权归穗华口腔医院所有,如需转载请注明文章来源:穗华口腔医院 http://www.62266666.com)
穗华品牌
穗华口腔医院作为暨南大学授权合作医院,是依托国内外权威硕博专家医资和口腔医学优势所建立的一所集临床、教学、科研、预防为一体的现代化口腔专科医院,开创了中国医疗改革创新示范的先河。
快速通道
医院动态
1
2026穗华口腔“一老一小”专利技术节 | 数智化革新 专利矫好牙
2
2026穗华口腔“一老一小”专利技术节 | 守护天然牙 健康全口牙
3
高手交锋——12位医生同台展示正畸病例,专家点评助力临床精进
4
传承九届——穗华口腔以病例为抓手,筑牢正畸人才培养根基
5
穗华口腔十年庆典圆满举办,粤港澳临床医学学会致贺寄望
查看完整动态>
推荐专家
收起
特色诊疗项目
收起






























































