牙错位对人体有什么害处?
时间:2015-08-23 17:29:02 来源:未知 作者:穗华口腔医院 阅读量:166
导读
牙错位不仅影响颜面美观,对人体健康也产生不可忽视的影响,那么牙错位对人体有什么害处?下文为大家揭晓一下。 牙错位 牙错位对人体的害处 2、长期受创伤......
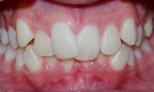
牙错位不仅影响颜面美观,对人体健康也产生不可忽视的影响,那么牙错位对人体有什么害处?下文为大家揭晓一下。
牙错位
牙错位对人体的害处
2、长期受创伤性咬合,牙错位有可能引起该牙龈坏死,之后会导致牙齿变色,如果不及时治疗的话,可能造成慢性根尖周炎,进而出现瘘管.在牙齿排列不整齐的人群中,80%以上有不同程度的牙龈炎、牙龈出血、牙结石,以及牙面色素沉着、口臭、龋齿等症状。
1、因为排列不齐、咬合不好的牙齿,咀嚼食物时个别牙齿错位,承受的压力过大,容易引起牙周负担过多而发生牙周疾患,出现牙龈红肿、牙龈萎缩、牙根外露等症状。
3、导致牙齿出现这种情况的原因是由于牙齿排列不齐,牙与牙之间的不良接触关系,导致牙菌斑、食物残渣的残留,如果不及时清除这些牙菌斑,牙菌斑会不断钙化、沉积,形成牙结石,粘附在牙颈部及牙龈下,变成龈下牙石,刺激牙龈产生牙龈炎,牙菌斑直接与牙龈缘接触,也会产生牙龈炎。
广州穗华口腔专家说如果发现牙齿排列不整齐一定要定期检查,有问题及时治疗,请口腔正畸科医师作矫正,或者清除牙结石,积极治疗牙龈炎;在家中,采用正确的"上下竖刷法"刷牙,加强护理排列不齐的牙齿.
选择一家好的医院,挑选好的医师,给自己的牙齿矫正。穗华口腔医院是拥有百年人文底蕴的暨南大学附属口腔医院临床教学医院,是广东省卫生厅批准成立的口腔专科医院,是集口腔诊疗、教学和科研为一体的现代化口腔综合医院,是您看牙的放心信赖之选!如果您还有其他疑问或需要帮助,还可以点击在线咨询,或者拔打免费电话:020-62266666。百度100遍,不如咨询1次。
(版权归穗华口腔医院所有,如需转载请注明文章来源:穗华口腔医院 http://www.62266666.com)
穗华品牌
穗华口腔医院作为暨南大学授权合作医院,是依托国内外权威硕博专家医资和口腔医学优势所建立的一所集临床、教学、科研、预防为一体的现代化口腔专科医院,开创了中国医疗改革创新示范的先河。
快速通道
医院动态
1
2026穗华口腔“一老一小”专利技术节 | 数智化革新 专利矫好牙
2
2026穗华口腔“一老一小”专利技术节 | 守护天然牙 健康全口牙
3
高手交锋——12位医生同台展示正畸病例,专家点评助力临床精进
4
传承九届——穗华口腔以病例为抓手,筑牢正畸人才培养根基
5
穗华口腔十年庆典圆满举办,粤港澳临床医学学会致贺寄望
查看完整动态>
推荐专家
收起
特色诊疗项目
收起






























































