难看会成为工作中的障碍
,导致职场受阻。






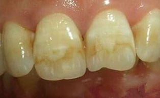
因技术原因,传统瓷贴面除了色泽不稳定外,还会损害到牙体组织;因传统瓷贴面处理需要先备牙、磨牙,对牙龈有一定的刺激,会导致少数患者的牙齿对冷热敏感。但是随着技术的发展,瓷贴面技术与时俱进,满足求美者的需求,全新高科技术——数字化超薄瓷贴面应运而生。

穗华口腔数字化超薄全瓷贴面采用3Shape TRIOS™技术数字化光学取模,德国VITA™技术精准比色(有多达16色可选),德国Wieland™ CAD/CAM技术个性化设计制作,运用美学理念,超薄到0.2mm,每一片贴面在形状、色泽上与患者的牙列、脸型匹配,整个过程微创、舒适!此外,数字化超薄瓷贴面还具有色泽稳定,无脱落,无牙龈刺激现象,美观舒适等优势,是目前理想的口腔修复技术。【点击了解更多】




1术前牙齿颜色灰黄黯淡,医生会诊,提供个性化的专属 美牙方案。

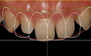
2医生3Shape TRIOS™技术数字化光学取模,量齿定制,可预观效果。

3采用德国VITA比色技术,准确对比牙齿明度和色泽,确定最合适的牙色。

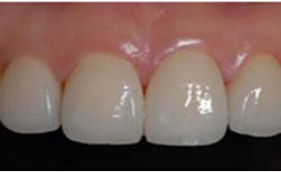
4修复后的牙齿色泽自然、逼真、整洁,牙色提升7个色阶。

5采用一套专业的粘接系统,进行数字化超薄瓷贴面粘接。

6牙体预备,严格按照黄金比例并结合个人笑容效果,备置龈线。



瓷贴面修复属于非常精细的口腔修复项目,不是所有的医生都能做的。打造理想的瓷贴面修复需要医生具备一定的美学功底、设计功底,
同时还需要具有丰富的临床经验,熟练掌握操作技术。


李伟林 副主任医师
饶晓慧 主诊医师
张修学 主治医师
袁美娟 主治医师
所属医院:穗华口腔医院
职称:穗华口腔牙齿美容修复专家
擅长项目:牙齿美容修复、龋齿美学填充、复杂牙微创拔除、现代根管治疗技术、成人牙体牙髓病、儿童牙病及牙外伤的诊断与治疗,固定义齿...

所属医院:穗华口腔医院
职称:穗华口腔资深全科医师
擅长项目:前牙美容冠、贴面、前后牙根管治疗、微创拔牙、牙周基础治疗及儿童常见口腔疾病治疗。

所属医院:穗华口腔医院
职称:穗华口腔医院口腔修复科医师
擅长项目:前牙美学修复、数字化椅旁修复、3D显微根管治疗、树脂充填、各种儿童常见病的诊疗等。

所属医院:穗华口腔医院
职称:穗华口腔医院综合科资深医生
擅长项目:DSD美学设计、牙缺失种植修复、前牙美学树脂修复、前牙贴面修复、嵌体及全齿冠修复、现代根管治疗技术、牙周病系统治疗、阻生牙拔除等。
















穗华数字化超薄瓷贴面采用全新粘结技术,可至0.2mm,强度却达400mpa,爱护得当,可享用终身。

穗华数字化超薄瓷贴面采用对身体无害的贴面陶瓷材料,不含任何金属成分,不伤害原来的牙齿,无麻醉。

穗华口腔数字化超薄瓷贴面化学稳定性好,透明性好颜色稳定,色泽接近天然牙,耐磨性能好,有效抵抗咖啡、茶渍、烟渍等色素的附着。

穗华口腔数字化超薄瓷贴面无需大量磨牙,不会改变原有牙齿的结构,因此不会引起疼痛。同时能保护牙釉质,减少牙齿对冷热的敏感度。