穗华口腔全民爱牙月第013期种植公益讲座即将开讲!
时间:2016-09-11 14:45:16 来源:未知 作者:穗华口腔医院 阅读量:508
导读
1989年,由卫生部、教委等部委联合签署,确定每年的9月20日为全国爱牙日。穗华口腔为了更好地回馈大众,不定时举办优惠活动和公益讲座,致力于提高国民的口......
1989年,由卫生部、教委等部委联合签署,确定每年的9月20日为全国爱牙日。穗华口腔为了更好地回馈大众,不定时举办优惠活动和公益讲座,致力于提高国民的口腔保健、牙病防治意识,增强群众的口腔健康理念,建立口腔健康行为,从而提高全民族的口腔健康水平。
藉着全民爱牙日的到来,穗华口腔医院将于2016年9月11日举行第013期全民爱牙月好牙好口福种植公益讲座,届时有三甲医院的口腔专家莅临现场为广大口腔患者详细解疑答惑,活动当天的现场朋友还可免费享受口腔检查、种植牙公益援助优惠,让口腔患者拥有好牙好口福!
2016年9月11日上午09:00,穗华口腔好牙好口福·种植公益讲座将特邀穗华口腔种植科资深专家赵清桐主任亲临现场为缺牙患者讲授种植知识,解析种植牙技术的原理、种植过程,并与现场观众进行互动、交流,为口腔患者详细解答疑问。
活动时间:2016年9月11日上午09:00
活动当天,口腔患者可享受以下优惠:
1.免专家挂号费、免口腔检查费、免全景片拍摄费(限正畸、种植);
2.美国品牌种植体爱牙价4980元/颗,每日限10名;
3.符合爱牙援助基金条件可申请免费种牙;
4.全隐形矫正减免3000元;
5.全瓷美容冠、全瓷贴面减免500元/颗。
主讲嘉宾:

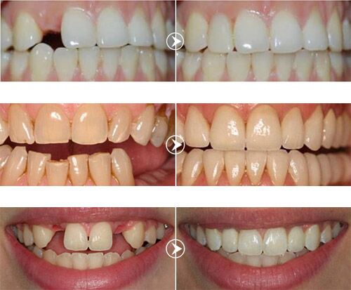
穗华口腔医院种植牙康复实例

穗华口腔种植科是华南微创种植牙重点基地,运用了国内外种植技术,科学诊断,精密测量,为患者提供各种类型的种植义齿修复,致力于患者的口腔健康做出努力!
(版权归穗华口腔医院所有,如需转载请注明文章来源:穗华口腔医院 http://www.62266666.com)
穗华品牌
穗华口腔医院作为暨南大学授权合作医院,是依托国内外权威硕博专家医资和口腔医学优势所建立的一所集临床、教学、科研、预防为一体的现代化口腔专科医院,开创了中国医疗改革创新示范的先河。
快速通道
医院动态
1
2026穗华口腔“一老一小”专利技术节 | 数智化革新 专利矫好牙
2
2026穗华口腔“一老一小”专利技术节 | 守护天然牙 健康全口牙
3
高手交锋——12位医生同台展示正畸病例,专家点评助力临床精进
4
传承九届——穗华口腔以病例为抓手,筑牢正畸人才培养根基
5
穗华口腔十年庆典圆满举办,粤港澳临床医学学会致贺寄望
查看完整动态>
推荐专家
收起
特色诊疗项目
收起































































